BBC NEWS MUNDO

Los científicos que creen haber encontrado “la evidencia de vida más antigua” en la Tierra

Estos podrían ser los fósiles de algunas de las primeras formas de vida que existieron sobre la Tierra. Pueden tener unos 4.280 millones de años de antigüedad.

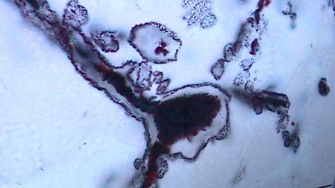
Esta masa de hierro y filamentos muestra similitudes con los microbios modernos. M DODD

Esta masa de hierro y filamentos muestra similitudes con los microbios modernos. M DODD

De ser cierto, habrían aparecido poco después de la formación del planeta y cientos de millones de años antes de lo que hasta ahora se consideraba como las evidencias más antiguas de vida sobre la tierra.

Estos diminutos filamentos con forma de nuez y tubos fueron hallados encerrados en capas de cuarzo en el denominado Cinturón Supracrostal Nuvvuagittuq (NSB, por sus siglas en inglés), un trozo suelo oceánico ubicado al norte de Quebec (Canadá) que contiene algunas de las rocas volcánicas y sedimentarias de mayor antigüedad conocidas hasta ahora.

El hallazgo, publicado en la revista Nature, fue recibido con escepticismo por una parte de la comunidad científica.

Sin embargo, los investigadores responsables del estudio afirman que sus resultados arrojan nuevas luces sobre el origen de la vida y creen disponer de argumentos para despejar las dudas.

“Este descubrimiento responde algunas de las mayores preguntas que la humanidad se ha hecho: ¿de dónde venimos y por qué estamos aquí”, dijo a la BBC Matthew Dodd, encargado de analizar las estructuras en el University College de Londres.

El ancho de los supuestos microbios es equivalente a una décima parte de un cabello humano y poseen cantidades significativas de hematita, una forma de óxido de hierro.

Un hallazgo sorprendente

Los fósiles fueron descubiertos por Dominic Papineau, del University College de Londres, en una zona de Quebec que hace miles de millones de años estaba en las profundidades del mar.

Se dice que este material muestra restos de estromatolitos, montículos de sedimento formados de granos minerales pegados entre sí por bacterias antiguas.

Papineau reconoce que la idea de la existencia de microorganismo metabolizando oxígeno en una época tan inicial en la formación del planeta sorprenderá a muchos geólogos.

Ellosno considerarían que había organismos respirando oxígeno en ese tiempo. Esto ubica la producción de oxígeno sobre la superficie terrestre, aunque en cantidades muy pequeñas, al inicio del registro de sedimentación”, dijo.

La profesora Nicola McLoughlin, de la Universidad Rhodes de Suráfrica, valoró el estudio pero considera que los datos presentados por los investigadores son insuficientes.

“La morfología de estos supuestos filamentos oxidantes de hierro del norte de Canadá no es convincente”, dijo McLoughlin a la BBC.

Agregó que el tema de la antigüedad de las rocas ha resultado ser muy controvertido y que es más probable que tengan en torno a 3.770 millones de años.

¿La clave de la vida en Marte?

Parte del interés en los orígenes de la vida sobre la Tierra, tiene que ver con sus implicaciones para los organismos en otras partes del Sistema Solar.

“Estos organismos provienen de una época en la que creemos que Marte tenía agua líquida en su superficie y una atmósfera similar a la Tierra en ese momento”, dijo Dodd.

“Por lo tanto, si tenemos formas de vida que se originan y evolucionan en la Tierra en este momento, también las podemos haber tenido comenzando en Marte”, agregó.

Si ese fuera el caso, las recientes misiones de la NASA en la superficie marciana podrían haber estado buscando signos de vida en los lugares equivocados, según señaló Papineau.

Destacó que las misiones de exploración de ese planeta -con los vehículos Spirit, Opportunity y Curiosity- han omitido las áreas que podían haber tenido rocas producidas por fuentes hidrotermales, que fueron justo en las que los investigadores encontraron en Quebec los fósiles.

“En la superficie de Marte se han perdido oportunidades. El vehículo Opportunity encontró formaciones prometedoras, pero no fueron analizadas, mientras el vehículo Spirit pasó cerca de otra formación del afloramiento Comanche en el cráter Gusev, pero siguió de largo”.

La posibilidad de que la vida haya aparecido “apenas” unos cientos de millones de años después de la formación de la Tierra puede ser un elemento fundamental en el debate sobre si la vida sobre el planeta fue solo un accidente raro o si es el resultado normal cuando se dan las condiciones adecuadas.

ESCRITO POR:

ARCHIVADO EN:

'; $xhtml .= '