Vida

Crean células de hígado funcionales

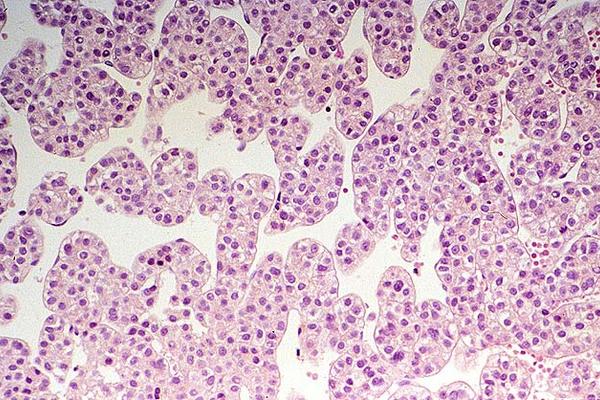
Investigadores en Estados Unidos descubrieron una forma de transformar las células de la piel en unas maduras y completamente funcionales células del hígado, que pudieron florecer por sí solas, incluso después de ser trasplantadas a ratones de laboratorio.

Crean células hepáticas funcionales de la piel

Crean células hepáticas funcionales de la piel

En los últimos años, científicos han podido transformar células de la piel en células de órganos como el corazón, el páncreas o en neuronales. Pero no habían logrado hacerlas funcionar plenamente.

Este método de generar células maduras es considerado por expertos como un paso crucial hacia las terapias de medicina regenerativa. Normalmente, para convertir una célula de piel en otra, primero deben transformarse en células madre, según el sitio BBC Mundo.

No obstante, el equipo de la Universidad de California en San Francisco y los Institutos Gladstone logró producir células funcionales a partir de un nuevo método de reprogramación celular.

“Estudios anteriores intentaron reprogramar células de la piel a células madre pluripotente, para que entonces pudieran crecer células del hígado“, explicó el doctor Sheng Ding, uno de los autores del estudio publicado en la revista Nature.

“Sin embargo, generar estas llamadas células madre pluripotentes inducidas y transformarlas en unas de hígado, no siempre había resultado en una completa transformación. Así que nosotros pensamos que, en vez de llevar a estas células de la piel todo el camino de vuelta a unas pluripotentes, quizás podríamos llevarlas a una fase intermedia”, agregó.

Mitad de camino
Hasta ahora se reprograman células de la piel en células madre para luego convertirlas en células de otras partes del cuerpo. Así fue como los expertos utilizaron un “coctel” de genes reprogramadores y compuestos químicos que transformaron las células de piel humanas a unas células que se asemejaban al endodermo.

Estas células se forman en la fase embrionaria y son las responsables de formar buena parte del aparato digestivo, el hígado y el páncreas, entre otros. Esto, según el coautor del estudio Saiyong Zhu, les permitió generar una gran reserva de células “que estarían más dispuestas a convertirse en células del hígado”.

Para ello, los investigadores descubrieron un grupo de genes y compuestos que podían transformar las células endodermo en unas funcionales de hígado.

Una vez que lograron estos resultados en el laboratorio, los expertos quisieron averiguar cómo las células reprogramadas se comportarían en un hígado. Trasplantaron estas células al hígado de ratones genéticamente modificados.

Durante un período de nueve meses, el equipo monitoreó la función de la célula, así como su crecimiento, y notaron que se estaban convirtiendo en unas maduras y funcionales. Casi un año después, estas células no mostraron señales de bajar el ritmo.

“Todavía quedan muchas preguntas por contestar, pero el hecho de que estas células puedan madurar en su totalidad y crecer durante meses tras ser trasplantadas es extremadamente prometedor“, señaló el profesor Holger Willenbrig, de la Universidad de California.

ESCRITO POR:

'; $xhtml .= '