BBC NEWS MUNDO

El impactante hallazgo sobre la contaminación en cerebros de personas que vivieron y murieron en Ciudad de México

Los desechos tóxicos de la contaminación del tráfico pueden, literalmente, llegar a tu cerebro.

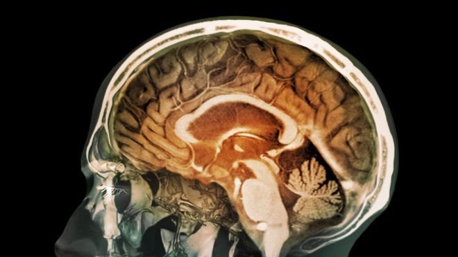
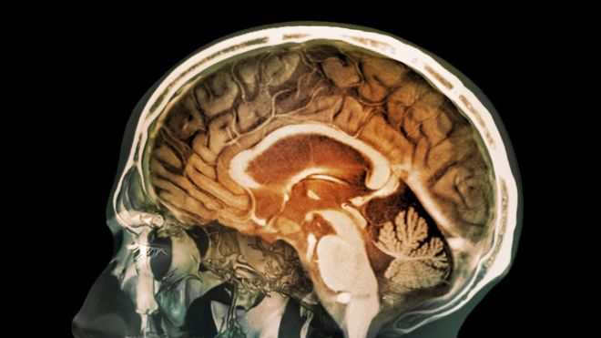
Es la primera vez que se encuentra evidencia de que partículas de la contaminación pueden llegar al cerebro. ZEPHYR/SCIENCE PHOTO LIBRARY

Es la primera vez que se encuentra evidencia de que partículas de la contaminación pueden llegar al cerebro. ZEPHYR/SCIENCE PHOTO LIBRARY

Al menos eso se desprende de la evidencia presentada en un estudio realizado en muestras de tejido cerebral. Investigadores de la Universidad de Lancaster, Inglaterra, descubrieron que pequeñas partículas de metal que se desprenden de los gases de escape de la combustión pueden introducirse por la nariz y viajar hasta el cerebro humano.

Una vez allí, sugieren los científicos, pueden causar daños en el cerebro y contribuir, por ejemplo, a la enfermedad de Alzheimer.

El hallazgo, afirman los investigadores, presenta una nueva serie de preguntas sobre los riesgos de la contaminación ambiental en la salud.

“Impactante”

Varios estudios en el pasado se han centrado en el impacto del aire contaminado en los pulmones y el corazón.

Pero ésta es la primera vez que una investigación se centra en el efecto en el cerebro.

Para el estudio, publicado en Proceedings of the National Academy of Science (PNAS), los científicos analizaron muestras de tejido cerebral de 37 personas: 29 de ellas, de entre 3 y 85 años, habían vivido y muerto en la Ciudad de México, una zona notoriamente contaminada.

Las otras ocho personas habían vivido en Manchester, Inglaterra, tenían entre 62 y 92 años, y algunos habían muerto a causa de enfermedades neurodegenerativas de diversos grados de gravedad.

Ya se sabía que las nanopartículas de hierro pueden estar presentes en el cerebro, pero por lo general se asume que éstas provienen del mineral que se encuentra de forma natural en nuestro organismo y que se deriva del alimento.

Pero lo que los investigadores encontraron ahora son partículas de otro tipo de mineral, la magnetita.

La profesora Barbara Maher, principal autora del estudio, ya había identificado partículas de magnetita en muestras de aire recogidas junto a una calle transitada en Lancaster y frente a una planta de energía.

Sospechaba que estas mismas partículas podrían encontrarse en las muestras de cerebro. Y eso fue lo descubrió.

“Fue muy impactante”, le dijo la científica a la BBC.

“Cuando estudiamos el tejido vimos las partículas distribuidas entre las células y cuando hicimos una extracción de la magnetita había millones de partículas, millones en un solo gramo de tejido cerebral”.

“Esas son millones de oportunidades para causar daños”, afirma.

Orígenes

Para comprobar que las nanopartículas provenían de los gases de escape de la combustión, los investigadores analizaron la forma de la magnetita.

Este mineral también puede estar presente en el cerebro de forma natural, pero en pequeñísimas cantidades, y tiene una forma distintivamente dentada.

Las nanopartículas que se encontraron en el estudio, sin embargo, no sólo eran más numerosas, sino también lisas y redondas.

Según los investigadores, son características que sólo pueden crearse en las altas temperaturas del motor de un vehículo o los sistemas de freno.

“Son formas esféricas y tienen pequeñas cristalitas alrededor de su superficie, aparecen junto con otros metales, como el platino, que surgen de los convertidores catalíticos”, explica la profesora Maher.

“Es la primera vez que vemos estas partículas de contaminación dentro del cerebro humano. Es un hallazgo que plantea toda una nueva área de investigación para entender si estas partículas de magnetita están causando o acelerando enfermedades neurodegenerativas”, agrega.

El estudio no mostró resultados concluyentes al respecto.

Los cerebros de los donantes de Manchester, especialmente los que habían muerto de trastornos neurodegenerativos, tenían niveles elevados de magnetita.

En las víctimas de la Ciudad de México se encontraron niveles similares o más altos.

El nivel más alto de magnetita se descubrió en un hombre mexicano de 32 años que murió en un accidente de tráfico.

¿Riesgo de Alzheimer?

Las partículas grandes que desecha la contaminación, como el hollín, pueden quedar atrapadas dentro de la nariz. Otras más pequeñas pueden entrar a los pulmones, y las más pequeñas pueden llegar hasta la corriente sanguínea.

Pero se piensa que las nanopartículas de la magnetita son tan diminutas que pueden pasar desde la nariz y el bulbo olfatorio hacia el sistema nervioso y hasta la corteza frontal del cerebro.

Algunos expertos creen que esto podría ser un “riesgo importante” de desarrollar enfermedades neurodegenerativas, como Alzheimer, pero por ahora, subrayan, no se ha comprobado que exista un vínculo.

“Este estudio ofrece evidencia convincente de que la magnetita procedente de la contaminación ambiental puede entrar al cerebro, pero no nos dice qué efecto tiene esto en la salud de nuestro cerebro o en trastornos como la enfermedad de Alzheimer”, afirma la doctora Clare Walton, de la organización Alzheimer's Society.

“Las causas de la demencia son complejas y hasta ahora no ha habido suficientes estudios que muestren si vivir en ciudades y en áreas contaminadas incrementa el riesgo de demencia”.

“Se necesitan más investigaciones al respecto”, asegura la experta.

Prevención

La profesora Barbara Maher -que dirigió el estudio de Lancaster- afirma que su hallazgo la ha forzado a llevar cambios en su estilo de vida para evitar, en lo posible, la contaminación.

“Debido a que la magnetita es tan tóxica para el cerebro, me ha hecho ver la atmósfera que respiro de forma diferente”, le dijo la investigadora a la revista New Scientist.

“Si camino en una calle muy transitada me alejo todo lo que puedo del borde del andén”.

“Si camino una calle inclinada, cruzo hacia el lado donde el tráfico va hacia abajo. “Los vehículos que van de subida generan más materia particulada”.

“Si estoy manejando, nunca me paro justo detrás de un auto. En tráfico pesado la mejor opción es tener un aire acondicionado en modo de recircular. Y siempre elijo mi ruta para transitar por las calles alternativas”, afirma la investigadora.

ESCRITO POR:

ARCHIVADO EN:

'; $xhtml .= '