En un estudio publicado en la revista Science Advances, los investigadores afirman que encontraron evidencia de la relación entre una bacteria presente en la periodontitis crónica, un tipo de enfermedad de las encías muy común, y las personas que padecen alzhéimer.
BBC NEWS MUNDO
Alzhéimer: ¿la periodontitis crónica influye en el desarrollo de demencia?
Un grupo de científicos reveló un hallazgo que podría significar un avance en la comprensión de la enfermedad de Alzheimer.
La enfermedad de las encías podría estar vinculada con el Alzheimer. (Foto Prensa Libre: Getty Images)
Los autores del estudio afirman que sus hallazgos ofrecen esperanza para una nueva forma de combatir la enfermedad, para la cual no hay cura y los tratamientos tienen una efectividad limitada.
¿Significa esto que las personas deberían estar más preocupadas por su salud oral?
¿Qué encontró la investigación?
Los científicos analizaron el tejido cerebral, el líquido cefalorraquídeo y la saliva de pacientes vivos y muertos con diagnóstico y sospecha de que padecen la enfermedad de Alzheimer.
Tras los análisis, en los cerebros de personas con alzhéimer, los investigadores hallaron la bacteriaPorphyromonas gingivalis, asociada con el desarrollo de la periodontitis crónica.

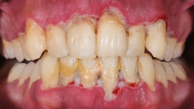
La enfermedad de las encías inicia con una inflamación llamada gingivitis, que de no tratarse adecuadamente puede evolucionar en una periodontitis.
Antes, experimentos con ratones ya habían confirmado que las bacterias podían viajar de la boca hacia el cerebro, y mostraron que la proteína tóxica que secretan, llamada gingipain, destruye las neuronas.
Estas bacterias también aumentaron la producción de beta amiloide, un componente de las placas amiloides, cuya acumulación está usualmente asociada con el Alzheimer.
Después, los científicos probaron en ratones medicamentos destinados a bloquear las proteínas tóxicas y descubrieron que podían detener la degeneración en el cerebro.
“Los hallazgos de este estudio ofrecen pruebas de que (la presencia de) Porphyromonas gingivalis y gingipains en el cerebro desempeñan un papel central en la patogénesis [desarrollo] de AD [enfermedad de Alzheimer], proporcionando un nuevo marco conceptual para el tratamiento de la enfermedad”, dicen los autores de la investigación.
El equipo ahora ha desarrollado un nuevo medicamento que, según esperan, podría formar la base de un tratamiento para humanos y un plan para probarlo este año en un ensayo clínico con personas que presentan alzhéimer de leve a moderado.

¿Qué dicen otros científicos sobre el estudio?
Científicos que no participaron en la investigación dijeron que ésta se suma a la evidencia del vínculo entre la enfermedad de las encías y la demencia, que es el término general para referirse a afecciones cerebrales como el mal de Alzheimer.
Afirman, sin embargo, que aún no está claro si la bacteria de la enfermedad de las encías está impulsando el desarrollo de la enfermedad de Alzheimer.
Las personas con alzhéimer son más susceptibles a contraer infecciones en el cerebro, por lo que puede ser que las bacterias de la periodontitis y las proteínas tóxicas que secretan sean una consecuencia no una causa.
También mostraron precaución por el hecho de que las pruebas de drogas habían sido en ratones.

La profesora Tara Spiers-Jones, del Instituto de Investigación de la Demencia de Reino Unido, en la Universidad de Edimburgo, dijo que era una “gran noticia” que el estudio proporcionara pruebas de que estos medicamentos pueden afectar las proteínas relacionadas con el mal de Alzheimer.
“Sin embargo, tendremos que esperar el ensayo clínico para ver si será beneficioso para las personas que viven con la enfermedad de Alzheimer”, dijo.
¿Cuál es la evidencia previa?
Algunos estudios han vinculado previamente la enfermedad de las encías y la demencia.
El año pasado, un estudio taiwanés descubrió que las personas con un historial de 10 años o más de periodontitis crónica eran 70% más propensas que las personas sin la enfermedad a desarrollar alzhéimer.
Otro estudio encontró que las personas con alzhéimer de leve a moderado que tenían enfermedad de las encías experimentaron una tasa más rápida de deterioro cognitivo en comparación con las que no tenían.

Los investigadores de este nuevo estudio dicen que una explicación para el vínculo es que las bacterias de la enfermedad de las encías pueden acceder al cerebro mediante la infección de las células del sistema inmunológico, o propagándose a través de los nervios craneales que pasan por la cabeza y la mandíbula.
Pero, alternativamente, puede ser que las personas con Alzheimer tengan una higiene bucal más deficiente, quizás porque la condición que padecen las hace menos capaces de cuidar sus dientes y encías.
¿A dónde nos lleva esto?
La Fundación Alzheimer Society, en respuesta a este estudio, dijo que las investigaciones en las que ellos han participado no habían encontrado que la enfermedad de las encías fuera un factor de riesgo clave para la enfermedad de Alzheimer.
Por su parte, la organización Alzheimer’s Research de Reino Unido dijo que era “extremadamente poco probable” que la presencia de un solo tipo de bacteria “fuera la única causa de la enfermedad”.
Pero dado que el estado de los dientes y las encías es importante para la salud general, el profesor Clive Ballard, de la Universidad de Exeter, dijo que el estudio sugería que la salud bucal debería ser una “prioridad de salud pública mucho más grande, especialmente en las personas mayores”.